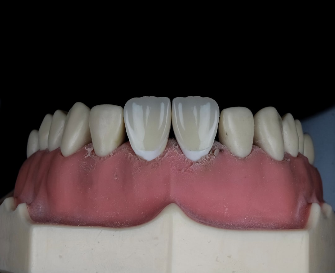
충치 레진 비용은 얼마인가요?
충치 치료를 위해 많이 사용하는 방법 중 하나가 바로 레진 치료입니다. 이 치료는 충치가 난 부분을 채워주는 방식으로, 심미성 또한 뛰어나 많은 사람들이 선호합니다. 이렇다 보니 충치 레진 비용에 대한 궁금증이 많습니다. 대체로 레진 충치 치료 비용은 치과마다 다르지만, 평균적으로 5만 원에서 15만 원 정도로 예상할 수 있습니다. 물론 이 비용은 충치의 크기나 위치에 따라 달라질 수 있습니다.

충치가 심한 경우, 레진 치료 외에도 더 복잡한 치료가 필요하기 때문에 비용이 상승할 수 있습니다. 또한, 치과 클리닉의 위치와 병원의 등급에 따라 비용이 차별화될 수도 있습니다. 저렴한 곳은 5만 원 이하로도 가능하지만, 유명한 치과에서 치료를 받을 경우 20만 원 이상인 경우도 있습니다. 그러므로 여러 치과를 비교해 보는 것이 좋습니다.
또한, 레진 충치 치료는 비교적 간단한 치료이기 때문에, 대부분의 경우 한 번의 방문으로 치료가 끝나는 경우가 많습니다. 이 치료 방식이 재방문을 줄여주면서도 치료 효과가 뛰어난 이유입니다. 하지만 각자 개인의 구강 상태에 따라 추가 치료가 필요할 수 있음을 기억하세요.
그러므로 소중한 치아를 지키기 위해서는 정기적인 치과 검진이 중요합니다. 충치가 생기기 전에 예방하고 조기에 발견하여 치료하는 것이 비용을 줄이는 방법일 수 있습니다. 또, 자신의 구강 건강에 따라 치료 비용을 미리 예측하고 관리하는 것이 좋습니다.
충치 레진 비용은 향후 치아 건강에 대한 중요한 투자라 할 수 있습니다. 가격을 비교할 때는 단순히 가격만이 아닌, 치과의 설명과 후기, 직원들의 친절도 등을 함께 고려하는 것이 필요합니다. 이러한 요소가 치료의 만족도에 큰 영향을 미칠 수 있습니다.
결론적으로, 충치 레진 치료는 가격뿐만 아니라 의료 서비스와 함께 고려해야 하는 복합적인 문제입니다. 방문하기 전에는 반드시 여러 치과 정보를 수집해 주의 깊게 판단하시길 바랍니다.



보험 적용 여부
레진 치료의 비용이 부담스러운 이유 중 하나는 보험의 적용 여부입니다. 일반적으로 레진 충치 치료는 건강보험이 적용되지 않아, 비용이 전부 자기 부담이 됩니다. 하지만 일부 치과에서는 보험이 적용되는 기본적인 치료를 시행하기도 하므로, 참고할 필요가 있습니다.
보험 적용 여부는 국가와 지역마다 차이가 있어, 다소 혼동스러울 수 있습니다. 한국에서는 일반적인 충치 치료에 비해 레진 치료의 경우 보험 적용이 어렵지만, 정부의 정책이나 건강보험의 변동사항에 따라 달라질 수 있습니다.
정신적, 경제적 부담을 줄이기 위해서는 치료를 시작하기 전에 본인이 이용하는 보험사의 적용 내용을 확인하는 것이 좋습니다. 일부 보험 상품에서는 구강 관리에 대한 혜택을 제공하기도 하므로, 이러한 옵션도 고려해보세요.
또한, 체크업을 통해 조기 발견하고, 시기 적절히 치료 받으면, 향후 발생할 수 있는 큰 비용을 절감할 수 있습니다. 충치 예방을 위한 정기 검진이 보험 적용 대상인 경우가 많으니, 이를 최대한 활용하세요.
결국, 치아 건강을 유지하기 위한 치료는 장기적인 투자가 됩니다. 레진 충치 치료 비용을 포함하여 검진, 예방 치료를 종합적으로 고려했을 때, 현명한 선택을 할 수 있습니다. 정기적인 검진을 통해 환자 본인도 경제적 부담을 감소시키고, 더 건강한 치아를 유지할 수 있습니다.
끝으로, 각자의 건강 상태와 경제적 여건에 따라 적절한 치료 방법과 비용을 찾아가는 것이 중요합니다. 이를 통해 자신의 구강 건강을 최우선으로 생각하는 지혜를 발휘해 보세요.






충치 레진 치료 시 유의할 점
충치 레진 치료를 고려할 때 몇 가지 유의사항이 있습니다. 첫 번째로는 치과 선택입니다. 많은 사람들이 치료 받은 후 후회하는 경우가 있으므로, 신뢰할 수 있는 치과를 선택하는 것이 필수적입니다. 후기나 추천 등을 참고하여 결정하세요.
두 번째는 치료 후 관리입니다. 레진 치료 후에는 특정 음식이나 음료를 피하는 것이 좋습니다. 특히, 단 음료나 찬 음식은 레진이 약해질 수 있으므로, 치료 후 일정 시간 동안은 조심해야 합니다.
세 번째는 정기 검진입니다. 치료 이후에도 치과를 정기적으로 방문해 자신의 치아 건강 상태를 점검해야 합니다. 정기적으로 점검하면 조기 발견이 가능하고, 추가 치료를 예방할 수 있습니다.
마지막으로, 사고나 외상으로 인한 경우에도 초기 대응이 중요합니다. 충치 치료 이후 치아에 이상이 느껴지면 즉시 치과를 방문해야 합니다. 이를 통해 더 큰 치료비용을 피할 수 있습니다.
충치 레진 치료는 간단하고 상대적으로 저렴한 방법입니다. 하지만 본인의 건강을 지키기 위해서는 신중한 판단이 필요합니다. 다양한 정보를 수집하고, 가능한 한 많은 사례를 바탕으로 결정하세요.
이제 여러분이 원하는 치료를 받고, 건강한 치아를 유지하시길 바랍니다!
추천 글
다크써클 해결? 효과적인 팁 총정리
다크써클: 무엇인가요?다크써클은 눈 주위의 피부가 어두워지거나 그늘져 보이는 현상을 말합니다. 이는 다양한 원인으로 발생할 수 있으며, 많은 사람들이 이로 인해 외모에 대한 자신감을 잃
jhctok.com
오트밀과자 만들기 손쉬운 레시피 3가지 팁
1. 오트밀과자란 무엇인가요?오트밀과자란 귀리(Oats)로 만든 건강한 간식으로, 부드럽고 고소한 맛이 특징입니다. 주로 식이섬유가 풍부하여 소화에 도움을 주며, 다양한 영양소가 포함되어 있
jhctok.com
테슬라 배당금 전략, 2025년 주당 배당금은?
테슬라 배당금: 미래의 투자 전략테슬라 배당금은 투자자들에게 항상 큰 관심을 받고 있는 주제입니다. 테슬라는 혁신적인 기술과 지속 가능한 에너지 솔루션으로 잘 알려져 있습니다. 하지만
jhctok.com
결론 및 FAQ
치아 건강은 소중하니까 여러분도 충치 레진 치료에 대한 비용과 보험 적용 여부를 미리 알아보시고, 최대한의 혜택을 누리세요. 마지막으로, 다음은 독자분들이 자주 궁금해하는 질문들입니다.
자주 묻는 질문(FAQ)
Q1: 충치 레진 치료는 보험 적용이 되나요?
A1: 일반적으로 충치 레진 치료는 보험이 적용되지 않지만, 기본적인 충치 치료에는 보험이 적용될 수 있습니다.
Q2: 충치 레진 비용은 대체로 얼마인가요?
A2: 평균적으로 5만 원에서 15만 원 정도입니다. 다만, 치료 부위나 크기에 따라 다를 수 있습니다.
Q3: 레진 치료 후 관리 방법은?
A3: 치료 후 일정 시간 동안은 찬 음식이나 단 음료를 피하는 것이 좋습니다. 정기적인 치과 방문도 필수입니다.
비용 요약 표
| 치료 종류 | 평균 비용(원) | 보험 적용 여부 |
|---|---|---|
| 충치 레진 치료 | 50,000 - 150,000 | 비적용 |
| 기본 충치 치료 | 20,000 - 50,000 | 적용 가능 |